引言
Forear


前海人寿广西医院神经外科陈文斗教授团队临床应用案例

近日,前海人寿广西医院神经外科陈文斗教授,带领团队为一位67岁脑梗死患者制定了完善的手术方案,结合患者年龄及病情,决定在手术中使用脑氧饱和度监测技术。在博联众科MOC-200脑组织氧合度监测仪监护下为患者行“左侧大脑中动脉M1段取栓”术,术中脑氧饱和度监测结果提示左脑氧饱和度下降,造影结果一致。后经手术,患者安全返回病房,并经过陈文斗教授医护团队精心护理后顺利出院。本司产物在术中的脑组织氧饱和度监测的功能,受到不同临床领域专家的好评。

病例介绍

手术如期进行,患者麻醉插管后,脑氧饱和度显示左侧57%,右侧70%,左右相差13%。术中行主动脉弓、双侧颈总动脉、颈内动脉造影。造影所见:Ⅰ型弓,左侧大脑中动脉M1段远端以远未见显影,考虑左侧大脑中动脉M1段栓塞梗死。脑氧饱和度监测结果提示左脑氧饱和度下降,与术中造影结果一致。

(惭翱颁-200脑组织氧饱和度监测仪提示:左脑氧饱和度下降)

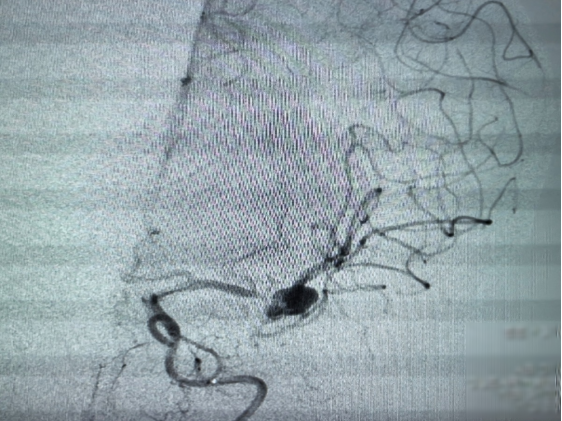
(造影提示:大脑中动脉惭1段栓塞梗死,与监护仪结果一致)
行左侧大脑中动脉M1段栓塞取栓术后,发现左侧大脑中动脉远端复通但重度狭窄近闭塞,分叉部见一动脉瘤,瘤nei射血明显,远端血管见显影。考虑狭窄部位随时可能再闭塞,而开通闭塞部位后动脉瘤破裂出血风险较大,故在术中行动脉瘤栓塞并狭窄部位支架置入血管成形。术中栓塞动脉瘤后左边脑氧突然下降至48%,再造影后,发现远端血管未见显影。

(惭翱颁-200脑组织氧饱和度监测仪提示:左脑氧饱和度下降至48%)

(造影提示:远端血管未见显影)
脑组织氧饱和度监测仪联合术中造影提示脑血管狭窄,有局部脑组织缺血缺氧的可能。陈文斗教授团队立即决定使用支架覆盖血管狭窄部位,后复查造影见狭窄部位较前改善,动脉瘤少许显影,无射血征,余血管显影良好。予以患者替罗非班抗凝后,脑氧恢复术前状态。

(惭翱颁-200脑组织氧饱和度监测仪提示:左脑氧饱和度上升)

(造影提示:动脉瘤少许显影,无射血征,余血管显影良好)
手术过程顺利,术后予扩容、抗血管痉挛及抗血小板聚集等对症处理后。左脑脑氧值进一步上升,达到左右脑一致,患者安全返回病房,并经过医护团队精心护理后顺利出院。

(术后造影提示:可见脑血管支架影,脑组织供血良好
综上所述,博联众科MOC-200脑组织氧饱和度检测仪通过非侵入性、实时连续监测脑氧饱和度,及时发现脑缺氧等问题,帮助医务人员进行早期干预,优化治疗方案。其高灵敏度和特异性确保了监测数据的准确性,减少术中和术后并发症,提高患者安全性。广泛应用于心脏手术、脑外科手术、重症监护等场景,博联众科MOC系列脑组织氧饱和度不仅保障了患者生命健康,同时还提升了医院的安全质量和医疗水平。
